TOOTHCare
ΧΕΙΡΟΥΡΓΙΚΗ ΣΤΟΜΑΤΟΣ
Στο Ιατρείο Χειρουργικής Στόματος TOOTHCare στο Πύργο, πραγματοποιούνται ΑΠΟΚΛΕΙΣΤΙΚΑ οι ακόλουθες χειρουργικές διαδικασίες :
-
ΕΞΑΚΤΙΚΗ
Χειρουργική εξαγωγή ριζών και ακρορριζίων
Χειρουργική εξαγωγή εγκλείστων και ημιεγκλείστων
Εξαγωγές σε ασθενείς με αιμορραγική διάθεση και συστηματικά νοσήματα
Εκτεταμένες οδοντογενείς λοιμώξεις
Σχάση και παροχέτευση αποστημάτων
Ακρωτηριασμός και χειρουργική εξαγωγή δοντιών
-
ΧΕΙΡΟΥΡΓΙΚΗ ΕΝΔΟΔΟΝΤΙΑ
-
ΧΕΙΡΟΥΡΓΙΚΗ ΠΕΡΙΟΔΟΝΤΟΛΟΓΙΑ
-
ΠΡΟΠΡΟΣΘΕΤΙΚΗ ΧΕΙΡΟΥΡΓΙΚΗ
-
ΧΕΙΡΟΥΡΓΙΚΗ ΣΤΟΜΑΤΟΛΟΓΙΑ
-
ΟΡΘΟΔΟΝΤΙΚΗ
-
ΑΙΣΘΗΤΙΚΗ
TOOTHCare
ΦΡΟΝΙΜΙΤΕΣ
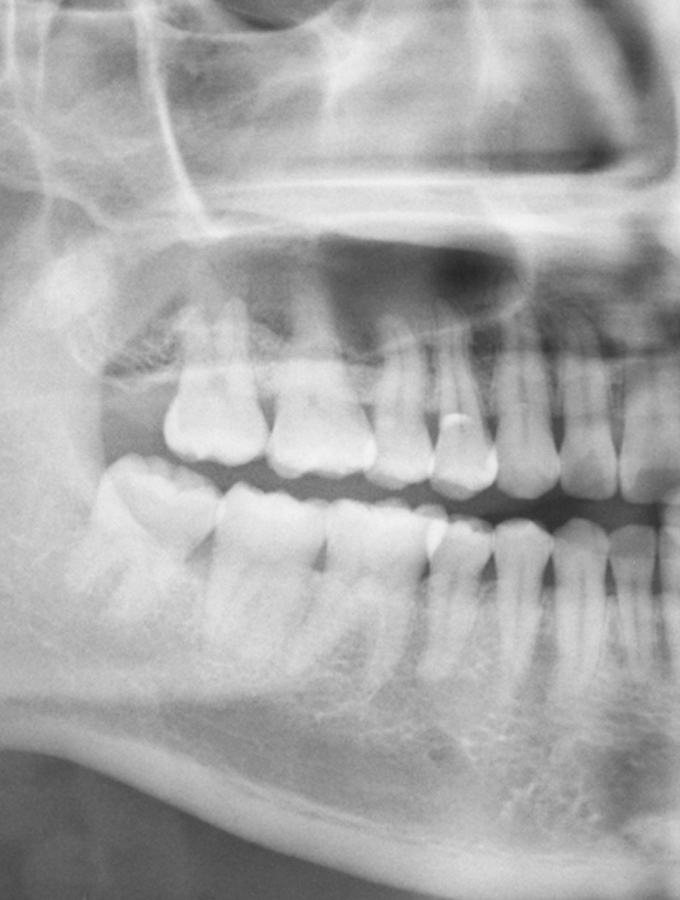
Οι φρονιμίτες ( ή αλλιώς σωφρονιστήρες ) είναι τα τελευταία δόντια τα οποία ανατέλλουν στη στοματική κοιλότητα, κατά την ηλικία των 17-23, αν και μπορούν να συνεχίσουν να ανατέλλουν μέχρι και την ηλικία των 30 ετών. Συνήθως είναι δόντια με αρκετά ιδιόμορφη μορφολογία. Κατά την ανατολή τους, μπορεί να έρθουν σε επαφή με τον 2ο γομφίο, ο οποίος βρίσκεται ακριβώς από μπροστά, ή να μην έχουν τον απαιτούμενο χώρο ώστε να προβάλλουν στο στόμα και να διαταχθούν ομαλά σε σχέση με τα πιο πρόσθια δόντια. Και οι δύο καταστάσεις έχουν σαν αποτέλεσμα την έγκλειση του δοντιού στη γνάθο η οποία μπορεί να είναι ασυμπτωματική ή και συμπτωματική. Η εντονότερη συμπτωματολογία αφορά συνήθως τους φρονιμίτες της κάτω γνάθου και σπανιότερα της επάνω λόγω των πιο περίπλοκων ανατομικών συνθηκών που υπάρχουν στην οπίσθια περιοχή της κάτω γνάθου.
Ένας φρονιμίτης που είναι πλήρως καλυμμένος από οστό ή ούλα ονομάζεται έγκλειστος ενώ αυτός που έχει μερικώς «τρυπήσει» τα ούλα λέγεται ημιέγκλειστος. Ο ημιέγκλειστος φρονιμίτης είναι συνήθως περισσότερο συμπτωματικός λόγω της κατακράτησης τροφών στην περιοχή μεταξύ του δοντιού και των ούλων, καθώς και της αδυναμίας καλού καθαρισμού τηε περιοχής με την καθημερινή στοματική υγιεινή ( βούρτσισμα-διάλυμα ). Η είσοδος των τροφών έχει σαν επακόλουθο την κατακράτηση μικροβίων και συνεπώς τη μόλυνση και φλεγμονή της περιοχής, που ονομάζεται περιστεφανίτιδα.
TOOTHCare
Η περιστεφανίτιδα μπορεί να είναι οξεία, υποξεία ή και χρόνια διαφέροντας στην ένταση των συμπτωμάτων από μορφή σε μορφή, Τα συνήθη συμπτώματα της περιστεφανίτιδας είναι άλγος ( πόνος ) στην περιοχή, αδυναμία πλήρους διάνοιξης του στόματος, πρήξιμο, κακουχία μέχρι και πυρετός. Υπάρχουν συγκεκριμένες και πολύ αποτελεσματικές ενέργειες που μπορεί να κάνει κάποιος που πάσχει από περιστεφανίτιδα, ώστε να μειωθεί η φλεγμονή και ο πόνος:
- Βούρτσισμα της περιοχής με μαλακή οδοντόβουρτσα, ώστε να μειωθεί η φλεγμονή και το πρήξιμο
- Πλύση 2-3 φορές την ημέρα με διάλυμα χλωρεξιδίνης για χημική αντιμικροβιακή προστασία
- Επίσκεψη στον οδοντίατρο για κλινική ακτινογραφική εξέταση και χορήγηση θεραπευτικής αγωγής (αντιβίωση αντιφλεγμονώδη ). Αυτή είναι μια ενέργεια η οποία επιβάλλεται να γίνει χωρίς καθυστέρηση, διότι η περιστεφανίτιδα είναι μία νόσος η οποία παρουσιάζεται με εξάρσεις και υφέσεις. Αυτό σημαίνει ότι αν περάσει ο πόνος και το οίδημα με τη συντηρητική αγωγή στο σπίτι και δεν προσέλθει ο ασθενής στο οδοντιατρείο, είναι σίγουρο ότι η νόσος θα τον ξαναενοχλήσει και πιθανότατα με πολύ πιο βαριά μορφή.
- Η λύση ( και πολύ συχνά η μοναδική ) για τη ριζική θεραπεία του προβλήματος είναι η εξαγωγή του υπαίτιου δοντιού, για να σταματήσει η συσσώρευση τροφών και μικροβίων αλλά και ταυτόχρονα να σταματήσει η βλάβη στην οπίσθια επιφάνεια του 2ου γομφίου, αφού η μόλυνση της περιοχής σπάνια δεν επεκτείνεται μέχρι αυτό το σημείο.
Οι έγκλειστοι φρονιμίτες παρουσιάζουν σπάνια περιστεφανίτιδα . Πολύ συχνότερα όμως, προκαλούν καταστροφή του οστού που στηρίζει τον 2ο γομφίο ( λόγω κλίσης του φρονιμίτη και έντονης επαφής των δύο δοντιών ), μ’ αποτέλεσμα τη δημιουργία περιοδοντικού προβλήματος, καθώς και στρεβλοφυία των μπροστινών δοντιών, από την έλλειψη χώρου και την πίεση που προκαλεί.
Με έρευνες έχει εξακριβωθεί ότι οι φρονιμίτες μπορεί να «σπρώχνουν» τα μπροστά από αυτούς δόντια μέχρι και την ηλικία των 32 χρόνων!! Η αντιμετώπιση είναι και σ’ αυτήν την περίπτωση χειρουργική.
Τα ίδια ακριβώς ισχύουν και για τους σωφρονιστήρες της άνω γνάθου. Γενικότερα, όμως, λόγω του αραιού οστού που τα περιβάλλει, δε συναντούν αντιστάσεις στην ανατολή τους. Σε περίπτωση ημιέγκλεισης ή έγκλεισης, πρέπει να εξάγονται, πάντα όμως με βάση τα συμπτώματα που προκαλούν στον ασθενή και το βαθμό δυσκολίας της εξαγωγής τους.
ΤΟΟΤΗCare
Πέτρος Σπίνος DDS-MSc
Ειδικός Χειρουργός Στόματος
Αποκλειστική Άσκηση
Χειρουργική Στόματος
Εμφυτευματολογία - Ακτινολογία
ΩΡΑΡΙΟ
Δευτέρα έως Παρασκευή 8.30 εως 21.00
Τετάρτη 8.30 έως 15.00
ΕΠΙΚΟΙΝΩΝΗΣΤΕ ΜΑΖΙ ΜΑΣ